SRS

Stereotactic Radiosurgery

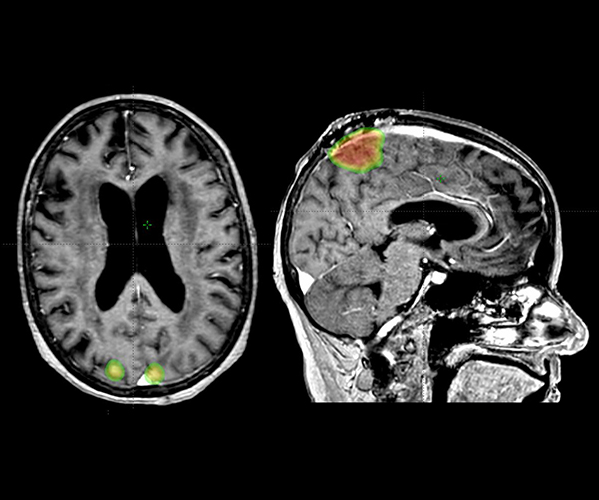
SRS is a form of external beam radiation that delivers high doses of radiation to very small volumes within the brain. SRS is typically given in a single day, but can be delivered over three to five days for larger, more complex tumors. Prior to the development of SRS, many brain tumors were treated with large volumes of radiation covering the entire brain. With SRS, less of the brain is exposed to radiation, resulting in more limited side effects. Additionally, SRS is able to deliver higher doses of radiation to the target than is possible with whole brain radiation, resulting in better outcomes. SRS is typically used to treat cancers that have metastasized to the brain, but is also used for non-cancerous growths such as meningiomas, pituitary adenomas, arteriovenous malformations, and vestibular schwannomas.

IMRT-RapidArc Radiation Treatments checking